StemBioSys
Mesenchymal stem cells (MSCs) often lose their stem cell properties during cell culture on ordinary tissue culture plastic, making it difficult to obtain high-quality cells in large numbers.
As a solution, Dr. Xiao-Dong Cheng, a tenured professor at UT Health San Antonio, developed CELLvo™ Matrix. This advanced stem cell culture system, which replicates the 3-dimensional environment where stem cells naturally reside and proliferate, has now become a platform technology that supports other scientists in stem cell research.
Since then, StemBioSys has been innovating the field of regenerative medicine by expanding its line of high-quality cells and cell expansion tools.
Available Products:
CELLvo™ Matrix technology:
- CELLvo™ Matrix Plus
- Other CELLvo™ Matrices: CELLvo™ Xeno Free Matrix, CELLvo™ NeuroMatrix and CELLvo™ ChondroMatrix
CELLvo™ Cells technology:
CELLvo™ Matrix technology
CELLvo™ Matrix is the only commercially available substrate that aims to recapitulate biochemical as well as structural and mechanical cues of the native niche by leaving the extracellular matrix intact. Cell-derived matrices create a biologically relevant culture environment for a variety of cell types by providing all the cues cells expect to receive in vivo in StemBioSys® culture dishes. This means that instead of responding to foreign culture conditions, cells respond to your experimental variables.
The next evolution in cell culture
Modern stem cell culture dates to the identification of hematopoietic stem cells by Till & McCulloch in 1961, and the subsequent accidental discovery of a subpopulation of bone marrow cells that were adherent to the bottom and sides of the culture vessels. Later, the surfaces were optimized for rapid isolation and expansion of cells, but very little purposeful effort has gone into ensuring that these substrates supply necessary signals to obtain biologically-relevant data from in vitro work. Because cells respond just as strongly to signals they don't receive as those that they do, Stembiosys® is inventing the next generation of biologically-relevant cell culture systems, utilizing cell-derived matrices.
Figure 1. Depiction of evolution of cell culture from suspension cultures, to plastic dishes, to the future of biomimetics.
There is no place like home
In vivo, cell behaviour is guided by a complex interplay with the extracellular matrix. Cells respond to mechanical, structural, and biochemical cues from their extracellular matrix and these signals are necessary for achieving "normal" function. Cell culture approaches that assume the substrate "works" if the cells adhere and proliferate, disregard the current consensus about the importance of extracellular factors in determining cell function and fate. At StemBioSys®, they induce human cells to secrete a matrix in cell culture dishes. That matrix is then decellularized, leaving behind a cell-derived extracellular matrix for cell culture. This biomimetic substrate provides the cues cells expect enabling healthy phenotypes and biologically-relevant results from a variety of cell types.
Figure 2. Schematic of our production method for CELLvo™ Matrices.
For detailed methods. see our published manuscripts.
Enables xeno-free isolation
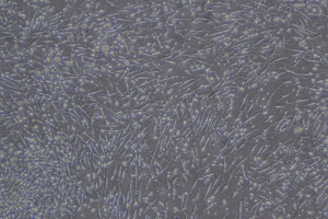
When isolating primary cells from human or animal tissues, high concentrations of FBS are often required for cell attachment to foreign substrates. With CELLvo™ XF Matrix, cells naturally home and adhere to their new niche. With a variety of cell types, StemBiosys® routinely see more rapid attachment and proliferation of primary cells.
Figure 3. BM-MSC isolation from primary bone marrow mononuclear cells (100x) at day 14.
Phenotype retention during culture
When cells are taken from their niche, they respond with changes in their gene expression. On CELLvo™ Matrix, cells retain more natural gene expression, contributing to better phenotype retention during culture. This enables investigators to maintain healthier cells for more passages or pursue any number of applications where cell phenotype is important.
Figure 4. Heat map of gene expression of cells after seeding onto TCP vs. CELLvo™ Matrix.
Seeding onto simple substrates results in a shift in gene expression toward matrisome proteins they aren't seeing.
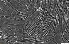
Optically clear & great for microscopy
The thin layer of matrix at the bottom of the culture vessel is optically clear and cells grow in a monolayer on top, allowing for beautiful brightfield imaging. If your application requires fluorescence imaging, you can stain the cells directly on the CELLvo™ Matrix. FITC or Alexa Fluor 488 may exhibit some background fluorescence from the plastic dish.
Figure 5. Amnion MSCs in culture on CELLvo™ Matrix (100x).
CELLvo™ Matrix Plus
CELLvo™ Matrix Plus is the next generation of CELLvo™ Matrix technology. CELLvo™ matrices are the only substrates that aim to recapitulate biochemical as well as structural and mechanical cues of the native niche by leaving the extracellular matrix intact. Cell-derived matrices create a biologically relevant culture environment for a variety of cell types by providing all the cues cells expect to receive in vivo in StemBioSys® culture dishes. This means that instead of responding to foreign culture conditions, cells respond to your experimental variables.
Initially developed for pluripotent stem cell culture, Stembiosys® has subsequently discovered that CELLvo™ Matrix Plus is the ideal substrate for cardiomyocyte maturation and culture.
CELLvo™ Matrix Plus supports iPSC expansion.
Pluripotent cell expansion can be a hassle. Pre-coated plates often have a short shelf-life, and coating wells with other products can be a challenge, especially when working with small-well formats. CELLvo™ Matrix Plus arrives in an easy-to-use format with the matrix proteins already on the surface of the dish. A brief rehydration step with PBS is the only requirement prior to seeding your cells. This eliminates potential variability from coating by hand and saves you time. In Stembiosys experiments, CELLvo™ Matrix Plus supports comparable self-renewal of iPSCs relative to Matrigel, but with greater ease of use.
When cells are taken from their niche, they respond with changes in their gene expression. On CELLvo™ Matrix, cells retain more natural gene expression, contributing to better phenotype retention during culture. This enables investigators to maintain healthier cells for more passages or pursue any number of applications where cell phenotype is important.
Figure 6. CELLvo™ Matrix Plus supports pluripotent stem cell self-renewal in a variety of media conditions. Here we show expansion in iPSBrew (top) & StemFlex (bottom)
Cardiomyocytes Spontaneously Align and Show Structural Maturation
Cardiomyocyte maturation is a major obstacle to the use of iPSC-derived cardiomyocytes for basic research as well as pre-clinical drug and toxicity screening. Commercially available iPSC-derived cardiomyocytes seeded onto CELLvo™ Matrix Plus rapidly and spontaneously align and become structurally mature. Many groups are using electrical pacing, 3-D microtissues with mechanical stimulation, or very long culture periods to achieve some degree of maturation. CELLvo™ Matrix Plus is an easy-to-use solution for cardiomyocyte maturation in 2D culture.
Figure 7. iPSC-derived cardiomyocytes spontaneously align and structurally mature when seeded on CELLvo™ Matrix Plus. Here, iCell Cardiomyocytes (CDI) are shown 7 days after seeding on CELLvo™ Matrix Plus.
iPSC-Derived Cardiomyocytes Become Rod-shaped and Bi-nucleated on CELLvo™ Matrix Plus
Within 7 days of seeding on CELLvo™ Matrix Plus, a large percentage of commercially available iPSC-derived cardiomyocytes become rod-shaped and bi-nucleated. These are markers of maturation seldom seen using traditional methods.
Figure 8. iPSC-derived cardiomyocytes become binucleated during culture on CELLvo™ Matrix Plus.
Cellvo™ Matrix Plus Improves Self-Renewal And Differentiation Potential Of MSCs
Mesenchymal stem cells cultured on CELLvo™ Matrix Plus have improved self-renewal and differentiation potential relative to TCP. The figure on the right demonstrates this by CFU-F (colony formation), CFU-AD (adipogenic differentiation), and CFU-OB (osteogenic differentiation). Additionally, MSC proliferation is dramatically increased on CELLvo™ Matrix Plus, relative to other substrates.
Figure 9. Pre-expansion on CELLvo™ Matrix Plus improves self-renewal and differentiation of MSCs relative to tissue-culture plastic (TCP).
Cardiomyocytes Form a Uniform, Structurally-Mature Monolayer after 7 Days in Culture
Cardiomyocytes form a uniform, structurally mature, and highly-organized monolayer after 7 days in culture. Here, phalloidin staining shows the high degree of alignment of cytoskeletal components within cells and within monolayers, relative to cardiomyocytes on Matrigel. Moreover, cardiomyocytes on CELLvo™ Matrix Plus express uniformly high levels of cardiac troponin I (cTnI), relative to Matrigel. This is especially interesting considering that this gene is not expressed prenatally.
Figure 10. Cardiomyocytes on CELLvo™ Matrix Plus become a structurally mature monolayer after 7 days in culture.
See more about CELLvo™ Matrix Plus
Other CELLvo™ Matrices: CELLvo™ Xeno Free Matrix, CELLvo™ NeuroMatrix and CELLvo™ ChondroMatrix
Stembiosys provides matrices specific for the support for a variety of iPSC-derived and primary neural cell types (CELLvo™ NeuroMatrix) and for the growth of articular chondrocytes (CELLvo™ ChondroMatrix). Their Xeno-Free version (CELLvo™ Xeno Free Matrix) allows an easy transition to translational studies.
CELLvo™ cells technology
CELLvo™ cells are the only cells isolated and expanded using StemBioSys' CELLvo™ Matrix technology. By isolating cells on a cell-derived extracellular matrix, more natural phenotypes can be preserved. All of StemBioSys® cells are early-passage and xeno-free whenever possible. They are committed to providing the best possible cells for your research. With that goal in mind, they continue to innovate and bring new cell products to the market.
Young donor populations
You get out what you put in. Many of StemBioSys® competitors are willing to compromise the quality of their cells by using inputs from elderly, obese, or otherwise sick donors due to the difficulty of finding healthy tissue sources. At StemBioSys®, they source all of their cells from young, healthy tissue to ensure you have top quality cells.
Figure 11. Image from paper on the rescue of aging stem cells showing the pro-inflammatory cytokine profile of elderly MSCs. It is important to get cells from healthy donors to get normal function.
Unique, difficult to isolate cells
StemBioSys® CELLvo™ Matrix technology enables us to efficiently isolate rare populations of cells that are difficult to isolate with other culture tools. Their first cell product, endothelial progenitor cells, are rare, highly angiogenic cells found in umbilical cord blood. Only through use of the CELLvo™ Matrix have they been able to isolate and expand these cells.
Figure 12. CELLvo™ Cord Blood Endothelial Progenitor Cells (hCB-EPC) (100x). These are rare cells that are highly proliferative and highly angiogenic when isolated and grown on CELLvo™ Matrix.
StemBioSys® cells have never seen plastic
Cells respond to their environment with changes in their gene expression. In many cases, these changes may be difficult to reverse. StemBioSys® isolate and expand their cell products on CELLvo™ Matrix technology to maintain a more natural phenotype, relative to cells isolated on simple substrates.
Figure 13. Image courtesy of Robert Mecham. Freeze fracture image of cell surrounded by extracellular matrix in native tissue. In vivo, cells are constantly receiving signals from the surrounding matrix.
Xeno-free products
As part of StemBioSys®'s commitment to providing the most biologically relevant tools to researchers, they are going xeno-free, whenever possible, in all of their research, development, and manufacturing. All of their mesenchymal stem cell products are isolated and cryopreserved in 100% xeno-free conditions so that they can provide cells that have never come in contact with non-human proteins. They recommend the use of CELLvo™ XF Matrix for the continued xeno-free culture of their cells.
Figure 14. High resolution bright-field image of cells on CELLvo™ Matrix. Cells and matrix are both visible in bright-field.
Stembiosys provides a range of cells isolated and expanded using StemBioSys' CELLvo™ Matrix technology, such as Human Cord Blood Endothelial Progenitor Cells (with superior colony forming abilities, greater vessel formation, and greater angiogenic potential in vitro and in vivo compared to hUVECs), a variety of Mesenchymal Stem Cells, cardiovascular cells such as Human Chondrocytes and Human Atrial iPS-Cardiomyocytes and human T-cells
