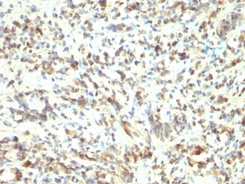
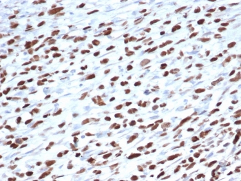
MyoD1 Antibody
Product Code:
NSJ-V3168SAF
NSJ-V3168SAF
Host Type:
Mouse
Mouse
Antibody Isotype:
Mouse IgG1, kappa
Mouse IgG1, kappa
Antibody Clonality:
Monoclonal
Monoclonal
Antibody Clone:
5.8A
5.8A
Regulatory Status:
RUO
RUO
Target Species:
- Human
- Mouse
- Rat
Applications:
- Fluorescence-activated cell sorting (FACS)
- Immunofluorescence (IF)
- Immunohistochemistry (IHC)
Storage:
Store the MyoD1 antibody at 2-8oC (with azide) or aliquot and store at -20oC or colder (without azide).
Store the MyoD1 antibody at 2-8oC (with azide) or aliquot and store at -20oC or colder (without azide).
No additional charges, what you see is what you pay! *
| Code | Size | Price |
|---|
| NSJ-V3168SAF-100UG | 100 ug | £537.00 |
Prices exclude any Taxes / VAT

