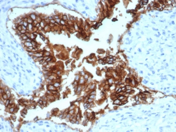
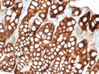
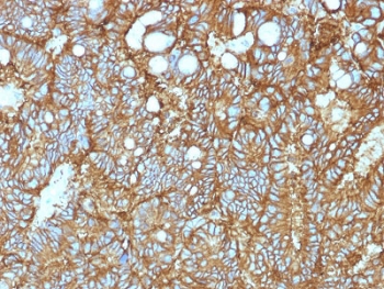
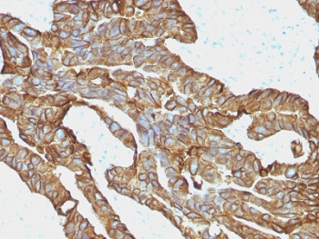
Anti-EpCAM Antibody / Extracellular domain
Product Code:
NSJ-V3525IHC
NSJ-V3525IHC
Host Type:
Mouse
Mouse
Antibody Isotype:
Mouse IgG1, kappa
Mouse IgG1, kappa
Antibody Clonality:
Monoclonal
Monoclonal
Antibody Clone:
EGP40/1372
EGP40/1372
Regulatory Status:
RUO
RUO
Target Species:
- Canine (dog)
- Feline (cat)
- Human
Application:
Immunohistochemistry- Paraffin Embedded (IHC-P)
Immunohistochemistry- Paraffin Embedded (IHC-P)
Storage:
Store the anti-EpCAM antibody at 2-8oC (with azide) or aliquot and store at -20oC or colder (without azide).
Store the anti-EpCAM antibody at 2-8oC (with azide) or aliquot and store at -20oC or colder (without azide).
No additional charges, what you see is what you pay! *
| Code | Size | Price |
|---|
| NSJ-V3525IHC-7ML | 7 ml | £537.00 |
Prices exclude any Taxes / VAT

