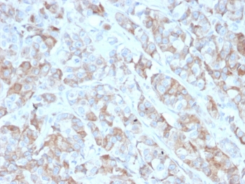
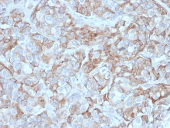
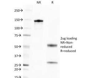
BCMA Antibody / CD269 / TNFRSF17
Product Code:
NSJ-V3814SAF
NSJ-V3814SAF
Host Type:
Mouse
Mouse
Antibody Isotype:
Mouse IgG2c, kappa
Mouse IgG2c, kappa
Antibody Clonality:
Monoclonal
Monoclonal
Antibody Clone:
BCMA/2366
BCMA/2366
Regulatory Status:
RUO
RUO
Target Species:
Human
Human
Applications:
- Enzyme-Linked Immunosorbent Assay (ELISA)
- Immunohistochemistry- Paraffin Embedded (IHC-P)
Storage:
Store the BCMA antibody at 2-8oC (with azide) or aliquot and store at -20oC or colder (without azide).
Store the BCMA antibody at 2-8oC (with azide) or aliquot and store at -20oC or colder (without azide).
No additional charges, what you see is what you pay! *
| Code | Size | Price |
|---|
| NSJ-V3814SAF-100UG | 100 ug | £537.00 |
Prices exclude any Taxes / VAT

