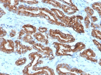
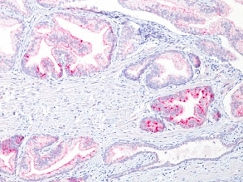
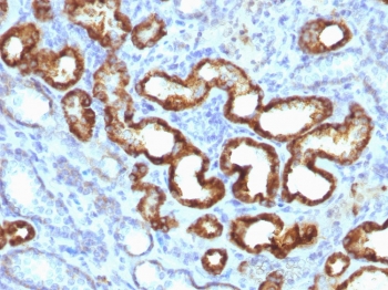
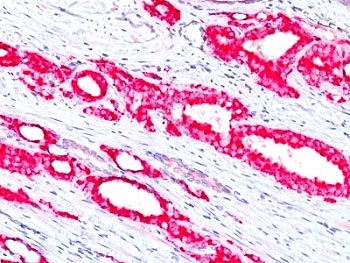
p504S Antibody / AMACR
Product Code:
NSJ-V8770SAF
NSJ-V8770SAF
Host Type:
Rabbit
Rabbit
Antibody Isotype:
Rabbit IgG
Rabbit IgG
Antibody Clonality:
Monoclonal
Monoclonal
Antibody Clone:
13H4
13H4
Regulatory Status:
RUO
RUO
Target Species:
Human
Human
Applications:
- Immunohistochemistry- Paraffin Embedded (IHC-P)
- Western Blot (WB)
Storage:
Store the p504S antibody at 2-8oC (with azide) or aliquot and store at -20oC or colder (without azide).
Store the p504S antibody at 2-8oC (with azide) or aliquot and store at -20oC or colder (without azide).
No additional charges, what you see is what you pay! *
| Code | Size | Price |
|---|
| NSJ-V8770SAF-100UG | 100 ug | £537.00 |
Prices exclude any Taxes / VAT

