ProSci

Bonzo Antibody

Product Code:
 
PSI-2209
Product Group:
 
Primary Antibodies
Supplier:
 
ProSci
Host Type:
 
Rabbit
Antibody Isotype:
 
IgG
Antibody Clonality:
 
Polyclonal
Regulatory Status:
 
RUO
Applications:
  • Enzyme-Linked Immunosorbent Assay (ELISA)
  • Immunofluorescence (IF)
  • Immunohistochemistry (IHC)
  • Western Blot (WB)
1 / 4
Western blot analysis of Bonzo in human spleen tissue lysate with Bonzo antibody at 1 μg/mL in (A) the absence or (B) the presence of blocking peptide.
2 / 4
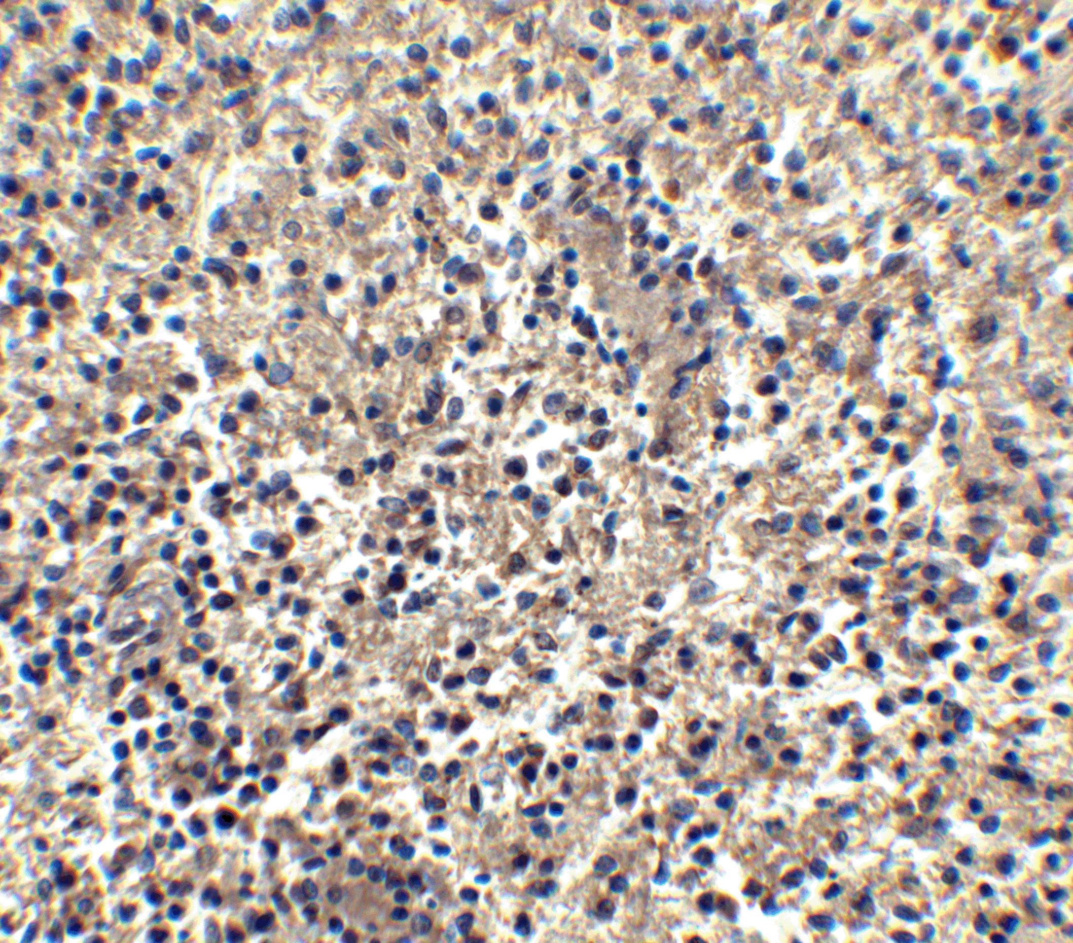
Immunohistochemistry of Bonzo in human spleen tissue with Bonzo antibody at 20 μg/mL.
3 / 4
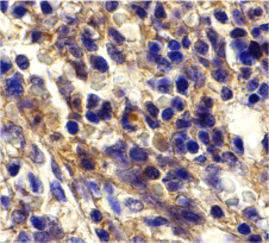
Immunohistochemistry of Bonzo in human spleen tissue with Bonzo antibody at 2.5 μg/ml.
4 / 4
Immunofluorescence of Bonzo in human spleen tissue with Bonzo antibody at 20 μg/ml.<br><br>Green: Bonzo Antibody (2209) <br> Blue: DAPI staining

Western blot analysis of Bonzo in human spleen tissue lysate with Bonzo antibody at 1 μg/mL in (A) the absence or (B) the presence of blocking peptide.
Immunohistochemistry of Bonzo in human spleen tissue with Bonzo antibody at 20 μg/mL.
Immunohistochemistry of Bonzo in human spleen tissue with Bonzo antibody at 2.5 μg/ml.
Immunofluorescence of Bonzo in human spleen tissue with Bonzo antibody at 20 μg/ml.<br><br>Green: Bonzo Antibody (2209) <br> Blue: DAPI staining

No additional charges, what you see is what you pay! *

CodeSizePrice
PSI-2209-0.02mg0.02mg£150.00
Quantity:
PSI-2209-0.1mg0.1mg£453.00
Quantity:
Prices exclude any Taxes / VAT
Stay in control of your spending. These prices have no additional charges to UK mainland customers, not even shipping!
* Rare exceptions are clearly labelled (only 0.14% of items!).
Multibuy discounts available! Contact us to find what you can save.
This product comes from: United States.
Typical lead time: 14-21 working days.
Contact us for more accurate information.
  • Further Information
  • Documents
  • Show All

Further Information

Additional Names:
Bonzo Antibody: BONZO, CD186, STRL33, TYMSTR, BONZO, C-X-C chemokine receptor type 6, CDw186, CXC-R6
Application Note:
Bonzo antibody can be used for detection of Bonzo by Western blot at 0.5 μg/mL. Antibody can also be used for immunohistochemistry starting at 2.5 μg/mL. For immunofluorescence start at 20 μg/mL.

Antibody validated: Western Blot in human samples; Immunohistochemistry in human samples and Immunofluorescence in human samples. All other applications and species not yet tested.
Background:
Bonzo Antibody: Human immunodeficiency virus (HIV) and simian immunodeficiency virus (SIV) require coreceptors, in addition to CD4, to infect target cells. Some G protein-coupled receptors including CCR5, CXCR4, CCR3, and CCR2b in the chemokine receptor family have been identified as HIV coreceptors. An orphan G protein-coupled receptor was recently cloned and designated Bonzo, STRL33 and TYMSTR, and identified as HIV and SIV coreceptor. Bonzo/STRL33 serves as coreceptor for SIV, HIV-2 and HIV-1. The messenger RNA of Bonzo/STRL33 is expressed in lymphoid tissues and activated peripheral blood lymphocytes.
Background References:
  • Deng HK, Unutmaz D, KewalRamani VN, et al. Expression cloning of new receptors used by simian and human immunodeficiency viruses. Nature 1997; 388:296-300.
  • Liao F, Alkhatib G, Peden KW, et al. STRL33, A novel chemokine receptor-like protein, functions as a fusion cofactor for both macrophage-tropic and T cell line-tropic HIV-1. J. Exp. Med. 1997; 185:2015-23.
  • Alkhatib G, Liao F, Berger EA, et al. A new SIV co-receptor, STRL33. Nature 1997; 388:238.
  • Loetscher M, Amara A, Oberlin E, et al. TYMSTR, a putative chemokine receptor selectively expressed in activated T cells, exhibits HIV-1 coreceptor function. Curr. Biol. 1997; 7:652-60.
Buffer:
Bonzo Antibody is supplied in PBS containing 0.02% sodium azide.
Concentration:
1 mg/mL
Conjugate:
Unconjugated
DISCLAIMER:
Optimal dilutions/concentrations should be determined by the end user. The information provided is a guideline for product use. This product is for research use only.
Immunogen:
Bonzo antibody was raised against a peptide corresponding to 15 amino acids near the amino terminus of human Bonzo/STRL33.

The immunogen is located within the first 50 amino acids of Bonzo.
NCBI Gene ID #:
10663
NCBI Official Name:
chemokine (C-X-C motif) receptor 6
NCBI Official Symbol:
CXCR6
NCBI Organism:
Homo sapiens
Physical State:
Liquid
PREDICTED MOLECULAR WEIGHT:
Predicted: 38 kDa

Observed: 43 kDa
Protein Accession #:
AAB64221
Protein GI Number:
2253422
Purification:
Bonzo Antibody is affinity chromatography purified via peptide column.
Research Area:
Chemokines & Cytokines
Swissprot #:
O00574
User NOte:
Optimal dilutions for each application to be determined by the researcher.