ProSci

BCMA Antibody

Product Code:
 
PSI-2397
Product Group:
 
Primary Antibodies
Supplier:
 
ProSci
Host Type:
 
Rabbit
Antibody Isotype:
 
IgG
Antibody Clonality:
 
Polyclonal
Regulatory Status:
 
RUO
Applications:
  • Enzyme-Linked Immunosorbent Assay (ELISA)
  • Immunofluorescence (IF)
  • Immunohistochemistry- Paraffin Embedded (IHC-P)
  • Western Blot (WB)
1 / 4
<strong> Figure 1 WB Validation  in Human Tissues</strong><br>
Loading: 10 μg of lysate 
Antibodies:  BCMA, 2397, 2 μ g/mL, 1 h incubation at RT in 5% NFDM/TBST. 
Secondary: Goat Anti-Rabbit IgG HRP conjugate at 1:10000 dilution.
2 / 4
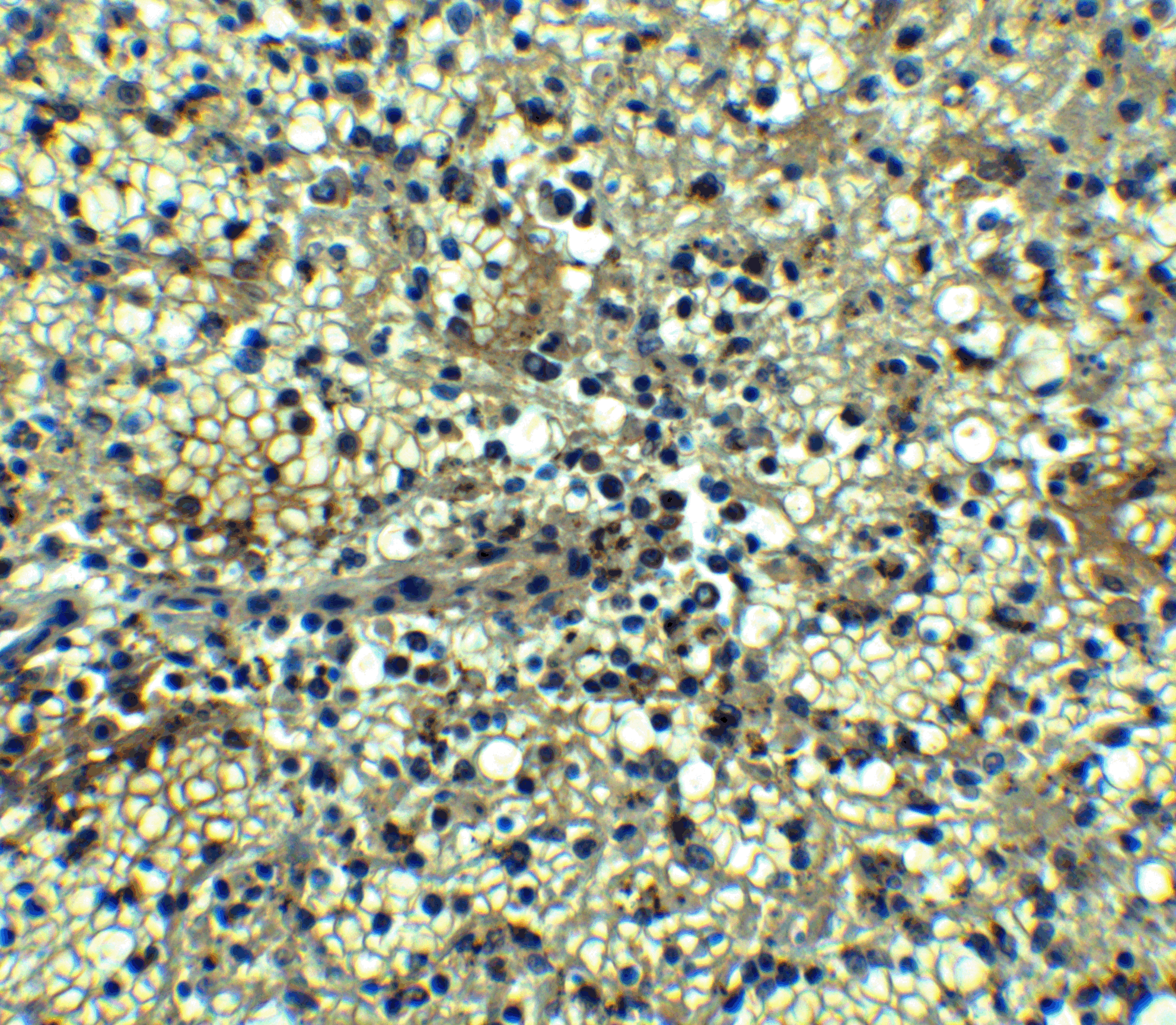
<strong>Figure 2  Immunohistochemistry Validation of BCMA in Human Colon</strong><br>  
Immunohistochemical analysis of paraffin-embedded human colon tissue using anti-BCMA antibody (2397) at 1 μg/ml. Tissue was fixed with formaldehyde and blocked with 10% serum for 1 h at RT; antigen retrieval was by heat mediation with a citrate buffer (pH6). Samples were incubated with primary antibody overnight at 4˚C. A goat anti-rabbit IgG H&L (HRP) at 1/250 was used as secondary. Counter stained with Hematoxylin.
3 / 4
<strong>Figure 3 Immunofluorescence Validation of BCMA in Human Spleen</strong><br>
Immunofluorescent analysis of 4% paraformaldehyde-fixed human spleen labeling BCMA with 2397 at 10 μg/mL, followed by goat anti-rabbit IgG secondary antibody at 1/500 dilution (red).
4 / 4
<strong>Figure 4  Immunohistochemistry Validation of BCMA in Human Spleen</strong><br>  
Immunohistochemical analysis of paraffin-embedded human spleen tissue using anti-BCMA antibody (2397) at 5 μg/ml. Tissue was fixed with formaldehyde and blocked with 10% serum for 1 h at RT; antigen retrieval was by heat mediation with a citrate buffer (pH6). Samples were incubated with primary antibody overnight at 4˚C. A goat anti-rabbit IgG H&L (HRP) at 1/250 was used as secondary. Counter stained with Hematoxylin.

<strong> Figure 1 WB Validation  in Human Tissues</strong><br>
Loading: 10 μg of lysate 
Antibodies:  BCMA, 2397, 2 μ g/mL, 1 h incubation at RT in 5% NFDM/TBST. 
Secondary: Goat Anti-Rabbit IgG HRP conjugate at 1:10000 dilution.
<strong>Figure 2  Immunohistochemistry Validation of BCMA in Human Colon</strong><br>  
Immunohistochemical analysis of paraffin-embedded human colon tissue using anti-BCMA antibody (2397) at 1 μg/ml. Tissue was fixed with formaldehyde and blocked with 10% serum for 1 h at RT; antigen retrieval was by heat mediation with a citrate buffer (pH6). Samples were incubated with primary antibody overnight at 4˚C. A goat anti-rabbit IgG H&L (HRP) at 1/250 was used as secondary. Counter stained with Hematoxylin.
<strong>Figure 3 Immunofluorescence Validation of BCMA in Human Spleen</strong><br>
Immunofluorescent analysis of 4% paraformaldehyde-fixed human spleen labeling BCMA with 2397 at 10 μg/mL, followed by goat anti-rabbit IgG secondary antibody at 1/500 dilution (red).
<strong>Figure 4  Immunohistochemistry Validation of BCMA in Human Spleen</strong><br>  
Immunohistochemical analysis of paraffin-embedded human spleen tissue using anti-BCMA antibody (2397) at 5 μg/ml. Tissue was fixed with formaldehyde and blocked with 10% serum for 1 h at RT; antigen retrieval was by heat mediation with a citrate buffer (pH6). Samples were incubated with primary antibody overnight at 4˚C. A goat anti-rabbit IgG H&L (HRP) at 1/250 was used as secondary. Counter stained with Hematoxylin.

No additional charges, what you see is what you pay! *

CodeSizePrice
PSI-2397-0.02mg0.02mg£150.00
Quantity:
PSI-2397-0.1mg0.1mg£453.00
Quantity:
Prices exclude any Taxes / VAT
Stay in control of your spending. These prices have no additional charges to UK mainland customers, not even shipping!
* Rare exceptions are clearly labelled (only 0.14% of items!).
Multibuy discounts available! Contact us to find what you can save.
This product comes from: United States.
Typical lead time: 14-21 working days.
Contact us for more accurate information.
  • Further Information
  • Documents
  • Show All

Further Information

Additional Names:
BCMA Antibody: BCM, BCMA, CD269, TNFRSF13A, BCM, Tumor necrosis factor receptor superfamily member 17, B-cell maturation protein
Application Note:
WB: 1-4 μg/mL; IHC-P: 1-5 μg/mL; IHC-P/IF: 10-20 μg/mL.

Antibody validated: Western Blot in human samples; Immunohistochemistry and Immunofluorescence in human samples. All other applications and species not yet tested.
Background:
BCMA Antibody: Members in the TNF superfamily regulate immune responses and induce apoptosis. Two novel members in the TNF family were recently identified and designated BAFF/BLyS/TALL-1/THANK/zTNF4 and April/TALL-2, respectively. BAFF was characterized as a B cell activator since it induced B cell proliferation and immunoglobulin secretion. April regulates immunological and non-immunological cell growth. Three receptors, BCMA (for B cell maturation protein), TACI, and BAFF-R, for BAFF were recently identified. BCMA, like TACI, binds BAFF and April. BAFF and its receptors induce B cell development and survival, activate NF-κB and c-jun N-terminal kinase, and are involved in B cell associated autoimmune diseases.
Background References:
  • Moore PA, Belvedere O, Orr A, et al. BLyS: member of the tumor necrosis factor family and B lymphocyte stimulator. Science 1999; 285:260-3
  • Schneider P, MacKay F, Steiner V, et al. BAFF, a novel ligand of the tumor necrosis factor family, stimulates B cell growth. J. Exp. Med. 1999; 189:1747-56
  • Shu HB, Hu WH, Johnson H. TALL-1 is a novel member of the TNF family that is down-regulated by mitogens. J. Leukoc. Biol. 1999; 65:680-3
  • Mukhopadhyay A, Ni J, Zhai Y, et al. Identification and characterization of a novel cytokine, THANK, a TNF homologue that activates apoptosis, nuclear factor-κB, and c-Jun NH2-terminal kinase. J. Biol. Chem. 1999; 274:15978-81
Buffer:
BCMA Antibody is supplied in PBS containing 0.02% sodium azide.
Concentration:
1 mg/mL
Conjugate:
Unconjugated
DISCLAIMER:
Optimal dilutions/concentrations should be determined by the end user. The information provided is a guideline for product use. This product is for research use only.
Immunogen:
Anti-BCMA antibody (2397) was raised against a peptide corresponding to 16 amino acid synthetic peptide near the carboxy terminus of human BCMA.

The immunogen is located within the last 50 amino acids of BCMA.
NCBI Gene ID #:
608
NCBI Official Name:
tumor necrosis factor receptor superfamily, member 17
NCBI Official Symbol:
TNFRSF17
NCBI Organism:
Homo sapiens
Physical State:
Liquid
Predicted Molecular Weight:
Predicted: 20 kD

Observed: 22 kD
Protein Accession #:
NP_001183
Protein GI Number:
23238192
Purification:
BCMA Antibody is affinity chromatography purified via peptide column.
Research Area:
Cytokine,Cancer
Swissprot #:
Q02223
User NOte:
Optimal dilutions for each application to be determined by the researcher.