ProSci

ATM Antibody

Product Code:
 
PSI-3945
Product Group:
 
Primary Antibodies
Supplier:
 
ProSci
Host Type:
 
Rabbit
Antibody Isotype:
 
IgG
Antibody Clonality:
 
Polyclonal
Regulatory Status:
 
RUO
Applications:
  • Enzyme-Linked Immunosorbent Assay (ELISA)
  • Immunofluorescence (IF)
  • Immunohistochemistry (IHC)
  • Western Blot (WB)
1 / 3
Western blot analysis of ATM in Daudi whole cell lysate with ATM antibody at (A) 1 and (B) 2 μg/mL.
2 / 3
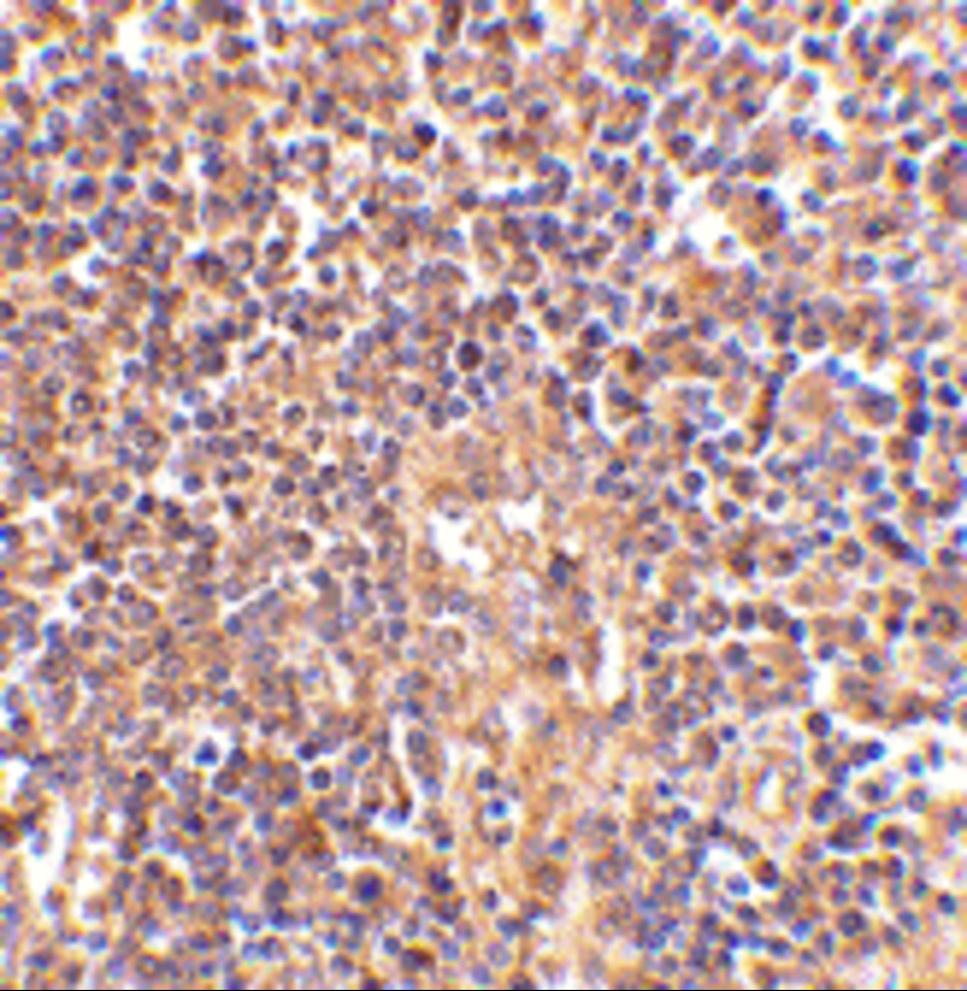
Immunohistochemistry of ATM in human lymph node tissue with ATM antibody at 2.5 μg/mL.
3 / 3
Immunofluorescence of ATM in Human Lymph Node cells with ATM antibody at 10 μg/mL.

Western blot analysis of ATM in Daudi whole cell lysate with ATM antibody at (A) 1 and (B) 2 μg/mL.
Immunohistochemistry of ATM in human lymph node tissue with ATM antibody at 2.5 μg/mL.
Immunofluorescence of ATM in Human Lymph Node cells with ATM antibody at 10 μg/mL.

No additional charges, what you see is what you pay! *

CodeSizePrice
PSI-3945-0.02mg0.02mg£150.00
Quantity:
PSI-3945-0.1mg0.1mg£453.00
Quantity:
Prices exclude any Taxes / VAT
Stay in control of your spending. These prices have no additional charges to UK mainland customers, not even shipping!
* Rare exceptions are clearly labelled (only 0.14% of items!).
Multibuy discounts available! Contact us to find what you can save.
This product comes from: United States.
Typical lead time: 14-21 working days.
Contact us for more accurate information.
  • Further Information
  • Documents
  • Show All

Further Information

Additional Names:
ATM Antibody: AT1, ATA, ATC, ATD, ATE, ATDC, TEL1, TELO1, Serine-protein kinase ATM, Ataxia telangiectasia mutated, A-T mutated
Application Note:
ATM antibody can be used for detection of ATM by Western blot at 1 - 2 μg/mL. Antibody can also be used for immunohistochemistry starting at 2.5 μg/mL. For immunofluorescence start at 10 μg/mL.

Antibody validated: Western Blot in human samples; Immunohistochemistry in human samples and Immunofluorescence in human samples. All other applications and species not yet tested.
Background:
ATM Antibody: DNA double strand breaks represent a major threat to an organism's genome. Eukaryotic cells have developed mechanisms that sense the presence this damage and initiate suitable responses that can include DNA repair, cell cycle delay, and programmed cell death. The ATM (mutated in Ataxia-Telangiectasia) protein kinase is activated following the formation of DNA double strand breaks, phosphorylating p53 and another kinase CHK2. This initiates a signaling cascade leading to the phosphorylation and inhibition of Cdc25, ultimately preventing cell cycle progression. In some cell types, such as the hemapoietic system, this leads to apoptosis instead of cell cycle arrest. Multiple isoforms of ATM are known to exist.
Background References:
  • Cahill D, Connor B, and Carney JP. Mechanisms of eukaryotic DNA double strand break repair. Front. Biosci. 2006?; 11?:1958-76.
  • Dasika GK, Lis SC, Zhao S, et al. DNA damage-induced cell cycle checkpoints and DNA strand break repair in development and tumorigenesis. Oncogene 1999; 18:7883-99.
Buffer:
ATM Antibody is supplied in PBS containing 0.02% sodium azide.
Concentration:
1 mg/mL
Conjugate:
Unconjugated
DISCLAIMER:
Optimal dilutions/concentrations should be determined by the end user. The information provided is a guideline for product use. This product is for research use only.
Homology:
Predicted species reactivity based on immunogen sequence: Pig: (86%), Mouse: (71%)
Immunogen:
ATM antibody was raised against a peptide corresponding to 14 amino acids near the carboxy terminus of human ATM.

The immunogen is located within amino acids 2970 - 3020 of ATM.
NCBI Gene ID #:
472
NCBI Official Name:
ataxia telangiectasia mutated
NCBI Official Symbol:
ATM
NCBI Organism:
Homo sapiens
Physical State:
Liquid
Protein Accession #:
AAB65827
Protein GI Number:
2304971
Purification:
ATM Antibody is affinity chromatography purified via peptide column.
Research Area:
Homeostasis,Cancer
Swissprot #:
Q13315
User NOte:
Optimal dilutions for each application to be determined by the researcher.