ProSci

TP1 Antibody

Product Code:
 
PSI-2345
Product Group:
 
Primary Antibodies
Supplier:
 
ProSci
Host Type:
 
Rabbit
Antibody Isotype:
 
IgG
Antibody Clonality:
 
Polyclonal
Regulatory Status:
 
RUO
Applications:
  • Enzyme-Linked Immunosorbent Assay (ELISA)
  • Immunofluorescence (IF)
  • Immunohistochemistry (IHC)
  • Western Blot (WB)
1 / 3
Western blot analysis of TP1 in human kidney tissue lysate with TP1 antibody at (A) 0.5 and (B) 1 μg/mL.
2 / 3
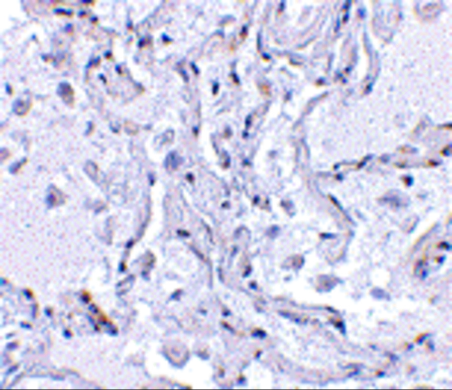
Immunohistochemical staining of human lung tissue using TP1 antibody at 2.5 μg/mL.
3 / 3
Immunofluorescence of TP-1 in Human Lung cells with TP-1 antibody at 20 μg/mL.

Western blot analysis of TP1 in human kidney tissue lysate with TP1 antibody at (A) 0.5 and (B) 1 μg/mL.
Immunohistochemical staining of human lung tissue using TP1 antibody at 2.5 μg/mL.
Immunofluorescence of TP-1 in Human Lung cells with TP-1 antibody at 20 μg/mL.

No additional charges, what you see is what you pay! *

CodeSizePrice
PSI-2345-0.02mg0.02mg£150.00
Quantity:
PSI-2345-0.1mg0.1mg£453.00
Quantity:
Prices exclude any Taxes / VAT
Stay in control of your spending. These prices have no additional charges to UK mainland customers, not even shipping!
* Rare exceptions are clearly labelled (only 0.14% of items!).
Multibuy discounts available! Contact us to find what you can save.
This product comes from: United States.
Typical lead time: 14-21 working days.
Contact us for more accurate information.
  • Further Information
  • Documents
  • Show All

Further Information

Additional Names:
TP1 Antibody: TP1, TLP1, p240, TROVE1, VAULT2, TP1, Telomerase protein component 1, Telomerase-associated protein 1, Telomerase protein 1
Application Note:
TP1 antibody can be used for detection of TP1 by Western blot at 0.5 - 1 μg/mL. Antibody can also be used for immunohistochemistry starting at 2.5 μg/mL. For immunofluorescence start at 20 μg/mL.

Antibody validated: Western Blot in human samples; Immunohistochemistry in human samples and Immunofluorescence in human samples. All other applications and species not yet tested.
Background:
TP1 Antibody: Telomerase is an RNA-dependent DNA polymerase that uses an RNA component to add telomeric repeat sequences at the ends of chromosomes. Besides the RNA component which serves as the template that specifies the telomeric repeat, the telomerase complex contains a reverse transcriptase protein (TRT) and various accessory proteins including the telomerase-associated protein 1 (TP1). Telomerase activity is low in most somatic cells, causing the gradual shortening of telomeres which can ultimately lead to telomere fusion and cell death. High levels of telomerase activity are widely seen in cancerous cells and while recent experiments have suggested that telomerase may be a viable target in cancer therapy, expression levels of TP1 do not correlate with malignancy. At least two isoforms of TP1 are known to exist.
Background References:
  • Greider CW. Telomere length regulation. Annu. Rev. Biochem.1996; 274:92-7.
  • Cong YS, Wright WE, and Shay JW. Human telomerase and its regulation. Microbiol. Mol. Biol. Rev.2002; 66:407-25.
  • Harrington L, McPhail T, Mar V, et al. A mammalian telomerase-associated protein. Science1997; 275:973-7.
  • Wong JMY and Collins K. Telomere maintenance and disease. Lancet2003; 362:983-8.
Buffer:
TP1 Antibody is supplied in PBS containing 0.02% sodium azide.
Concentration:
1 mg/ml
Conjugate:
Unconjugated
DISCLAIMER:
Optimal dilutions/concentrations should be determined by the end user. The information provided is a guideline for product use. This product is for research use only.
Immunogen:
TP1 antibody was raised against a 20 amino acid synthetic peptide from near the amino terminus of human TP1.

The immunogen is located within the first 50 amino acids of TP1.
NCBI Gene ID #:
7011
NCBI Official Name:
telomerase-associated protein 1
NCBI Official Symbol:
TEP1
NCBI Organism:
Homo sapiens
Physical State:
Liquid
PREDICTED MOLECULAR WEIGHT:
Predicted: 290 kDa

Observed: 290 kDa
Protein Accession #:
AAC51107
Protein GI Number:
1848277
Purification:
TP1 Antibody is affinity chromatography purified via peptide column.
Research Area:
Homeostasis
Swissprot #:
Q99973
User NOte:
Optimal dilutions for each application to be determined by the researcher.