ProSci

CCP110 Antibody

Product Code:
 
PSI-6825
Product Group:
 
Primary Antibodies
Supplier:
 
ProSci
Host Type:
 
Rabbit
Antibody Isotype:
 
IgG
Antibody Clonality:
 
Polyclonal
Regulatory Status:
 
RUO
Applications:
  • Enzyme-Linked Immunosorbent Assay (ELISA)
  • Immunofluorescence (IF)
  • Immunohistochemistry (IHC)
  • Western Blot (WB)
1 / 3
Western blot analysis of CCP110 in human colon tissue lysate with CCP110 antibody at 1 μg/mL.
2 / 3
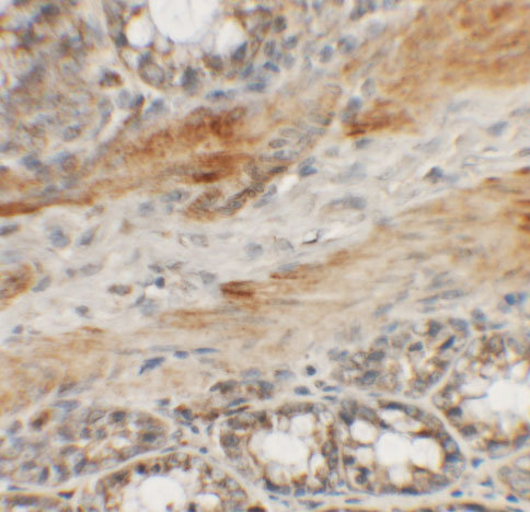
Immunohistochemistry of CCP110 in rat colon tissue with CCP110 antibody at 5 μg/mL.
3 / 3
Immunofluorescence of CCP110 in rat colon tissue with CCP110 antibody at 20 μg/mL.

Western blot analysis of CCP110 in human colon tissue lysate with CCP110 antibody at 1 μg/mL.
Immunohistochemistry of CCP110 in rat colon tissue with CCP110 antibody at 5 μg/mL.
Immunofluorescence of CCP110 in rat colon tissue with CCP110 antibody at 20 μg/mL.

No additional charges, what you see is what you pay! *

CodeSizePrice
PSI-6825-0.02mg0.02mg£150.00
Quantity:
PSI-6825-0.1mg0.1mg£453.00
Quantity:
Prices exclude any Taxes / VAT
Stay in control of your spending. These prices have no additional charges to UK mainland customers, not even shipping!
* Rare exceptions are clearly labelled (only 0.14% of items!).
Multibuy discounts available! Contact us to find what you can save.
This product comes from: United States.
Typical lead time: 14-21 working days.
Contact us for more accurate information.
  • Further Information
  • Documents
  • Show All

Further Information

Additional Names:
CCP110 Antibody: CP110, Cep110, CEP110, CP110, KIAA0419, Centriolar coiled-coil protein of 110 kDa, Centrosomal protein of 110 kDa
Application Note:
CCP110 antibody can be used for detection of CCP110 by Western blot at 1 μg/mL. Antibody can also be used for immunohistochemistry starting at 5 μg/mL. For immunofluorescence start at 5 μg/mL.

Antibody validated: Western Blot in human samples; Immunohistochemistry in rat samples and Immunofluorescence in rat samples. All other applications and species not yet tested.
Background:
CCP110 Antibody: CCP110 is a centrosomal protein required for the centrosome to function as a microtubule organizing center and plays an essential role in centrosome duplication. It is a target of cyclin-dependent kinases (CDKs); disruption of CCP110 phosphorylation leads to unscheduled centrosome separation and polyploidy. CCP110 is also a target of SCF (Cyclin F) ubiquitin ligase complex, leading to its degradation, suggesting that this complex controls centrosome homeostasis and mitotic fidelity through CCP110 degradation. The centriolar kinesin Kif24 also interacts with CP110 and remodel microtubules and regulate ciliogenesis.
Background References:
  • Chen Z, Indjeian VB, McManus M, et al. CP110, a cell cycle-dependent CDK substrate, regulates centrosome duplication in human cells. Dev. Cell 2002; 3:339-50.
  • D'Angiolella V, Donato V, Vijayakumar S, et al. SCF (Cyclin F) controls centrosome homeostasis and mitotic fidelity through CP110 degradation. Nature 2010; 466:138-42.
  • Kobayashi T, Tsang WY, Li J, et al. Centriolar kinesin Kif24 interacts with CP110 to remodel microtubules and regulate ciliogenesis. Cell 2011; 145:914-25.
Buffer:
CCP110 Antibody is supplied in PBS containing 0.02% sodium azide.
Concentration:
1 mg/mL
Conjugate:
Unconjugated
DISCLAIMER:
Optimal dilutions/concentrations should be determined by the end user. The information provided is a guideline for product use. This product is for research use only.
Immunogen:
CCP110 antibody was raised against a 17 amino acid synthetic peptide near the carboxy terminus of human CCP110.

The immunogen is located within the last 50 amino acids of CCP110.
NCBI Gene ID #:
9738
NCBI Official Name:
centriolar coiled coil protein 110kDa
NCBI Official Symbol:
CCP110
NCBI Organism:
Homo sapiens
Physical State:
Liquid
PREDICTED MOLECULAR WEIGHT:
Predicted: 110 kDa

Observed: 110 kDa
Protein Accession #:
NP_001185951
Protein GI Number:
312222737
Purification:
CCP110 Antibody is affinity chromatography purified via peptide column.
Research Area:
Homeostasis
SPECIFICITY:
Two isoforms of CCP110 are known to exist; this antibody will only detect the longer isoform
Swissprot #:
O43303
User NOte:
Optimal dilutions for each application to be determined by the researcher.